





Traditional Braces: Traditionally metal braces are used. They use metal brackets and wires to align teeth.
Ceramic Braces: These are as traditional braces but are more clear & colored, making them less noticeable.
Lingual Braces: These braces are attached to the back of the teeth, making them virtually invisible from the front.
Invisalign: These are clear, removable aligners that are custom-made for each patient to gradually shift teeth into place.
Dental braces are orthodontic devices used to address a variety of issues related to teeth and jaw alignment. They serve the following primary purposes:
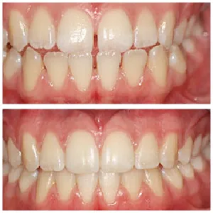
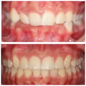
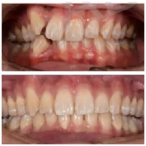
Correct Misaligned Teeth: Braces are commonly used to treat teeth that are crooked, crowded, or out of alignment. By applying gentle and consistent pressure on the teeth, braces encourage them to move into their correct positions over time.
Close Gaps and Spaces: Braces are effective in closing gaps and spaces between teeth. This can improve both the appearance and functionality of the smile.
Fix Overbites and Underbites: Braces can be used to correct overbites (upper teeth protruding too far forward) and underbites (lower teeth jutting out beyond the upper teeth), which can impact the bite and facial aesthetics.
Address Crossbites: Crossbites occur when one or more teeth in the upper jaw bite inside the lower teeth. Braces can help align the teeth properly to correct this issue.
Improve Bite Function: Braces can enhance the way the upper and lower teeth fit together, leading to better bite function. This can help prevent issues like TMJ disorders and teeth grinding.
Enhance Aesthetics: Braces can create a straighter, more aesthetically pleasing smile, which can boost self-esteem and confidence.
Prevent Dental Problems: Orthodontic treatment with braces can prevent or alleviate dental problems that may arise from misaligned teeth, such as cavities and gum disease, by making it easier to maintain good oral hygiene.
Create a Stable Foundation: For individuals requiring restorative dental work, braces can create a stable and aligned foundation, making procedures like crowns or dental implants more effective.
It’s important to remember that the benefits of braces in terms of corrected alignment, enhanced aesthetics, and improved oral health typically outweigh the temporary side effects and inconveniences. Regular communication with your orthodontist is key to addressing any concerns or discomfort experienced during the treatment process.
Q: How to Maintain Results After Getting Braces?
Ans: Following the completion of their orthodontic treatment, all patients will need to wear a retainer. A retainer prevents your teeth from moving back into their original positions. Retainers come in several varieties. Orthodontists at Hash Clinics will help you select the best option for your requirements.
Q: How Much does Braces Cost in Karachi?
Ans: Braces cost around Rs. 40,000 to Rs. 190,000 on average. Sometimes it costs more depending on misalignment of teeth.
Q: How to Take Care of Invisible Braces?
Ans: Gum, caramels, popcorn, bagels, difficult rolls, apples, almonds, and other sticky or chewy foods should not be consumed since they may damage or snag your braces. In addition, if your brace is detachable like Invisalign braces, brush it with a special toothbrush at least once a day and rinse it in cold water after each meal.
Q: How Long Should You Wear Braces?
Ans: The severity of your tooth problem determines how long you will need to wear braces. Treatment typically lasts 18 to 24 months.
130-C, DHA Phase 1, Near Tooba Masjid, B-Commercial Area, Karachi.
PHONE: 0330-3412233
Skin Care: 0330-3412233
Hair Transplant: 0327-3412233
Orthopedic: 0335-7712233
Dentist: 0326-3412233
Erectile Dysfunction: 0325-3412233