





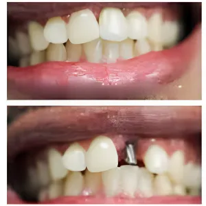
A dental tooth implant consists of three main parts: the post, the abutment, and the crown.
It is also referred to as the implant. The post is the surgical component inserted into the mandible. It is commonly created with titanium and its purpose is to progressively fuse with the bone. This part gives the replacement tooth a solid base and assists the implant to become tightly fixed in the jawbone.
The visible section of the dental tooth implant that seems like a natural tooth is known as the crown. While it can be formed of various materials, it is mostly created with zirconia or porcelain, both of which are known as ceramic. The crown is nearly undetectable from adjacent natural teeth since it is specially made to match their size, shape, and color.
The connecting piece that joins the dental implant to the crown is called the abutment. Usually, titanium, zirconia, or other materials are used to make it. After the osseointegration phase is finished, the abutment is positioned on top of the post. A dental crown or other prosthetic tooth structure is then attached to the implant using it.
Dental implants are not dangerous or complicated. Since dental implant surgery entails placing a prosthesis inside the jawbone, some individuals might believe that it’s a difficult process. Nonetheless, thousands of patients regularly undergo dental implant surgery. About 98% of dental implant surgeries are successful. Therefore, visit a reliable clinic like Hash Clinics and get a safe dental implant.
A dental tooth implant will not decay. Since dental implants are made to be dependable and robust, they are a popular option for replacing lost teeth. They look natural even though they don’t decay over time like actual teeth do. Many individuals with missing teeth now feel more confident as a result of this realization. Nevertheless, routine brushing, flossing, and tooth cleanings are still necessary for maintaining dental implants.
Taking care of dental implants is easy. Dental implants are impervious to decay and cavities. All that is needed to maintain a dental implant is regular brushing and flossing when the site has completely healed.
This procedure protects natural bone by actively promoting bone formation, in contrast to other tooth replacement choices like dentures or bridges. This is a long-term and healthy option for missing teeth since it preserves the strength of your jawbone and stops additional tooth loss.
Here’s why you need dental implants from Hash Clinics.
Undeniably, losing a tooth can be a devastating experience. Previously, the alternatives for replacing teeth were not safe and efficient. While bridges involve grinding down the teeth next to the vacant region, dentures are frequently painful and have a tendency to slip. The good news is that dental implants are a great solution. A dental tooth implant will resemble your natural teeth in feel and look, making it a practical choice.
One of the most discomforting parts about losing a tooth is that it makes it hard to chew food properly. And this is where dental tooth implant step in. By completing the spaces left by missing teeth, dental implants aid in reestablishing this equilibrium. This is the only tooth replacement method that will replace the tooth completely and allow you to chew your food more easily.
Dental implants can last a lifetime. Dental tooth implants can last for a very long time with the right upkeep and care. They can last as long as you take care of them, unlike bridges or dentures, which need to be changed every five to ten years.
Dental implants have the ability to stop jawbone loss. Dental implants are integrated with your jawbone, in contrast to other tooth replacement choices like dentures or bridges, which sit on top of your gums. This aids in promoting bone growth and halting bone degeneration. Many studies have shown that individuals who undergo dental implants over alternative tooth replacement methods experience far less bone loss.
Tooth replacement procedures may necessitate the purchase of specialized and expensive cleaning supplies. Not just that, extreme caution must be taken during cleaning to avoid getting your dental appliances damaged. However, this is not the case with dental implants as they offer effortless upkeep. You can simply clean them with routine brushing and standard oral hygiene supplies and equipment including mouthwash, toothpaste, and dental floss.
Remember, you can eliminate these risks by visiting a reliable and professional clinic like Hash Clinics. Our skilled and experienced dentists will perform the procedure carefully, guaranteeing safe and effective results.
Here’s an overview of the procedure for a dental implant.
A dental implant will start with an evaluation meeting to determine the treatment required for your teeth. In order for our dentist to produce an implant that matches your natural teeth, this meeting will involve X-rays to evaluate the state and a model of your teeth. Alongside that, your jawbone will be examined to ensure it’s safe to use your new implants in place of your existing teeth. Depending on how many implants you need and the state of your jawbone, this could take longer. You might be referred to a periodontist or a maxillofacial surgeon in more complicated situations. Our dentist will also point out any health issues that could compromise the course of treatment. This will ensure that there are no risks or complications during the surgery.
• Our dentists will extract the tooth that the implant is replacing if it is still in the mouth.
• Although tooth extraction is usually a straightforward procedure, it may become more difficult if the tooth is impacted, badly damaged, or infected.
• To extract the tooth in such cases, the dentist might have to make tiny incisions in the gums.
• Following extraction, the area is meticulously cleaned to get rid of any infection or debris.
• In certain cases, a dental implant can be inserted right after extraction (an instantaneous implant), which shortens the duration of the procedure.
• The implant process could be postponed, though, if bone grafting is required or the jawbone needs time to recover.
• After extraction, the healing process usually takes a couple of weeks, during which the bone and gums will recover for the next stage.
Remember, if your jawbone is too weak or soft to hold a dental implant, bone grafting will be necessary. The implant may not have a solid base to merge with if the bone is soft or weak. Therefore, a tiny piece of bone from another area of your body or synthetic bone material is used by the dentist to place it onto the implant site during the bone transplantation procedure. This guarantees the strength of the jawbone to hold up the titanium post that will be placed in the following stage. In order to provide the density and strength required for the implant to integrate well, bone grafting is essential. Depending on the severity of the injury, bone grafting recovery can take just a couple of weeks to several months.
• The dentist will place the implant after the jawbone is sufficiently strong.
• In order to uncover the bone where the metal post will be positioned, the dentist must perform a little surgical incision in the gums.
• After that, the post will be carefully screwed into the jawbone, making sure that the depth and angle are correct.
• As the artificial tooth’s root, the titanium post is biocompatible, which means the body won’t reject it. The implant will become firmly fixed to the bone during this integration, which may take several months.
• During this period, the gums will be closed around the implant and temporary repairs may be done to preserve function and appearance until the implant settles in its place.
Following implantation, the titanium post bonds with the jawbone during a process known as osseointegration. This bonding, which may take three to six months, builds a solid basis for the new tooth. The gums around the implant will heal during this time. To preserve both beauty and functionality, a temporary crown could be offered. Frequent follow-up visits guarantee that the healing process is going well. During this stage, proper care is essential to promoting healthy healing and preventing infection. This includes maintaining good oral hygiene while avoiding hard foods. The abutment will be connected to the implant when osseointegration is finished. The abutment, which joins the crown to the implant, will be secured when the gums are reopened to reveal the implant. For one to two weeks, the gum surrounding the abutment will be given some time to heal.
During the last stage, the dentist will place a customized crown on the abutment. The crown’s size, shape, and color will be intended to match perfectly with your natural teeth. Once affixed, it will resemble a normal tooth and fully restore speech and chewing abilities. To guarantee a comfortable bite, our dentist may make adjustments to the crown. With proper maintenance and care, the implant will last for many years.
Q: What is the Cost of Full Mouth and Single Tooth Dental Implants with a Specialist in Karachi?
Ans: The price of dental implants in Karachi varies from Rs. 75,000 to Rs. 300,000. However, you must remember that the cost can differ according to your budget and additional services like sinus lifts, bone grafts, and other similar procedures.
Q: How Long Do Dental Implants Take to Heal and What Are the Costs per Tooth in Pakistan?
Ans: After your surgery and recovery time, the tooth implant needs around four to seven months to recover and completely integrate with your jawbone. During this time, you must continue to maintain good dental hygiene. You can also slowly return to your normal routine. The cost of an implant per tooth ranges from Rs. 75,000 to Rs. 200,000.
Q: What Is the Cost of a Single Dental Implant, Including Front Teeth, and How Are Implants Made?
Ans: The cost of a single dental implant can range from Rs. 75,000 to Rs. 200,000. This varies according to factors like your budget and the extra services required like bone grafting. The tooth implant is a screw or metal post that is usually composed of titanium, a biocompatible substance. Since titanium creates a strong foundation for the artificial teeth, it fuses well with bone. It is made up of three parts: the post, abutment, and crown. Post is a screw that is fixed inside your jaw, an abutment connects the crown and screw, and the crown is placed to make your tooth look real and natural.
130-C, DHA Phase 1, Near Tooba Masjid, B-Commercial Area, Karachi.
PHONE: 0330-3412233
Skin Care: 0330-3412233
Hair Transplant: 0327-3412233
Orthopedic: 0335-7712233
Dentist: 0326-3412233
Erectile Dysfunction: 0325-3412233