

A bright and shiny smile is indeed one of the most desired features of an individual's appearance. And if you also want the confidence and youthfulness that comes with brighter teeth, head over to Hash Clinics to get teeth whitening near me.
Our dentists at Hash Clinics offer:




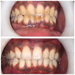
Before we get into the actual process of teeth whitening, let’s talk about why teeth become discolored. There are three types of discoloration: extrinsic, intrinsic and age-related.
Extrinsic discoloration is found on the surface of teeth and is typically due to dietary and beverage stains, such as coffee, tea, red wine and cola. Tobacco use is also a significant cause of yellow teeth. Teeth whitening treatment is most effective at removing these stains.
Intrinsic stains are inside the tooth. These stains can be caused by injury, high fluoride exposure in early development, medication (such as antibiotics), or simply the natural process of discoloration as you age. They may result from injury, high fluoride intake during childhood, some medications (such as antibiotics) and ageing teeth. These stains are harder to treat and may require professional procedures.
Another cause of discolored teeth is age. Age-related yellowing is both extrinsic and intrinsic. With age, the enamel (outer coating of the teeth) becomes thinner and the dentin (inner coating) becomes more visible, resulting in discolored teeth.
Bleaching agents, like hydrogen peroxide and carbamide peroxide, are commonly used in teeth whitening. These substances release oxygen molecules that enter the enamel and dentin (the inner part of the tooth) of the teeth. These oxygen molecules attack the discolored molecules, causing them to break down and the teeth to become whiter. In-office treatments at Hash Clinics include higher concentrations of these chemicals for quicker and more intense results. In other cutting-edge treatments, light or laser is used to speed up the process.
At Hash Clinics, we offer quick and effective teeth whitening treatments. In this treatment, the gums are coated with a protective gel, and the teeth are coated with a highly concentrated whitening gel. The teeth are subsequently exposed to a special light. The procedure lasts between 60-90 minutes and may whiten teeth by several shades in a single visit. It’s perfect for those who need to whiten their teeth quickly, such as for a special occasion. The teeth whitening price in Pakistan starts from only Rs. 4000.
At Hash Clinics, our dentists also create custom-made at-home teeth whitening kits, which include trays and whitening gel. The trays are custom-made to fit around your teeth so the gel can be applied evenly. There are also plenty of kits available over the counter, but they tend to have lower levels of bleaching agents. They’re more budget-friendly but may be less effective and require longer to produce results.
Whitening toothpastes have mild abrasives and polishing agents to help remove stains. Whitening strips, in contrast, are plastic strips that stick to the teeth and are coated with a gel containing peroxide. These are easy to use, but often only provide minor improvements.
There are some people who use natural remedies like baking soda, activated charcoal or oil pulling. These can be useful in removing surface stains but aren’t scientifically supported to significantly improve dental color and can be harmful to tooth enamel if overused.
The price of teeth whitening treatment ranges from Rs. 4000 to Rs. 25000 at Hash Dental Clinic. However, the teeth whitening price in Pakistan depends on severity of dental problems and number of sessions. If you want to know more about teeth whitening pricing, contact us or visit Hash Clinics.
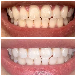
Teeth Whitening isn’t just for cosmetic reasons. A more obvious benefit is improved self-esteem. Whiter teeth can boost your confidence when socializing and at work.
Another benefit is that it is a non-invasive procedure. Whitening does not involve reshaping your teeth like veneers and crowns. It’s fast and inexpensive cosmetic procedure.
Frequent teeth whitening is safe if undertaken with the guidance of our experienced dentists. Today, it is a relatively painless procedure that can have great results.
At Hash Clinics, we offer affordable teeth whitening price in Pakistan which starts from just Rs. 4000 which makes this a cost-effective solution.
When administered properly with the help of our professional dentists, teeth whitening is safe for most individuals. But it’s essential to seek professional advice before undergoing any whitening procedure, particularly if you have sensitive teeth, gum disease or have dental work like crowns or fillings.
Tooth sensitivity and gum irritation are occasional side effects of whitening. This can typically be treated with sensitivity toothpaste or fluoride. It’s also crucial to adhere to the instructions, especially when using at-home products, to prevent excessive use or uneven whitening.
Teeth whitening may not be suitable for everyone. Women who are pregnant or breastfeeding should also wait until after delivery to whiten their teeth. People with sensitive teeth, eroded enamel or untreated tooth problems should fix these before whitening their teeth. Additionally, teeth whitening treatments work best on natural teeth. Fillings, veneers and crowns are not affected by bleaching treatments, which can result in a patchy appearance.
The length of your teeth whitening results last will depend on your habits. Typically, the effects will last between a few months and three years. Eating and drinking staining foods and drinks, smoking and inadequate brushing and flossing can reduce the longevity of the results. Routine dental visits and periodic maintenance treatments will also help keep your smile white.
To keep your smile, make good habits a priority. Regular brushing (twice a day) and flossing prevents plaque formation and staining.
Avoiding or reducing the consumption of coffee, tea and red wine, or drinking them through a straw, helps prevent staining. And, of course, giving up smoking is good for your teeth and your health.
Occasional use of a whitening toothpaste and regular dental visits will also help maintain your smile. And most significantly, using any maintenance trays your dentist may recommend will extend the results of professional whitening.
Teeth whitening can cause temporary tooth sensitivity. This is due to the temporary effects of the bleaching products on the enamel. Teeth sensitivity typically wears off and can be treated with desensitizing toothpaste or recommended professional treatment from your dentist.
No, it’s not suitable for everyone. Those with gum disease, high sensitivity or dental work such as crowns may not see the same benefits. It's important to consult your dentist to see if your oral health is suitable for whitening.
Properly performed whitening treatments don't harm enamel. In-office treatments are safe and effective. But using too much over the counter (OTC) product or unproven treatments can damage enamel, so be sure to follow directions and consult with a professional before trying anything.
Whitening is only possible on natural teeth. Restorations such as crowns, veneers and fillings do not whiten. This can cause discoloration if the natural teeth are bleached, so your dentist may offer other cosmetic options.
You should avoid potential staining foods and beverages (coffee, tea and sauces) for 24-48 hours after whitening. Your teeth will be more susceptible to staining.
Teeth whitening price in Pakistan is affordable and cost-effective. At Hash Clinics, teeth whitening price in Pakistan begins at Rs. 4000 only per session.
130-C, DHA Phase 1, Near Tooba Masjid, B-Commercial Area, Karachi.
PHONE: 0330-3412233
Skin Care: 0330-3412233
Hair Transplant: 0327-3412233
Orthopedic: 0335-7712233
Dentist: 0326-3412233
Erectile Dysfunction: 0325-3412233