





Teeth scaling and polishing is performed as follows:
Examination: A dentist assesses your oral health, identifying areas of plaque and tartar buildup.
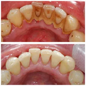
Scaling: Using specialized instruments, the dentist carefully scrapes away plaque and tartar from tooth surfaces and below the gumline.
Polishing: A rotating rubber cup attached to a dental handpiece is used to apply a polishing paste to the teeth. This paste helps remove surface stains and leaves teeth smooth and shiny.
Fluoride Treatment (optional): Some dental clinics offer a fluoride treatment to strengthen teeth and provide extra protection.
The entire process is typically painless, though you may experience minor discomfort during scaling if you have sensitive teeth or significant buildup. Regular scaling and polishing appointments help maintain oral health and keep your smile looking its best.
Here are the benefits of scaling and polishing presented in a point format for easy and engaging reading:
Q: Is scaling and polishing good for teeth?
Ans: Scaling and polishing prevent gum disease, cavities, bad breath, and enhance oral health through plaque and tartar removal.
Q: How much does scaling cost in Karachi, Pakistan?
Ans: Scaling cost starts from Rs. 7000 at Hash Clinics. It varies patient to patient.
Q: What is the difference between scaling and polishing teeth?
Ans: Scaling removes plaque and tartar, while polishing smooths and brightens tooth surfaces for better appearance and stain removal.
Q: How long does scaling last?
Ans: You are good for years. But people does it every 3-4 years.
130-C, DHA Phase 1, Near Tooba Masjid, B-Commercial Area, Karachi.
PHONE: 0330-3412233
Skin Care: 0330-3412233
Hair Transplant: 0327-3412233
Orthopedic: 0335-7712233
Dentist: 0326-3412233
Erectile Dysfunction: 0325-3412233